Nuestra suite Vascular proporciona herramientas de intervención vascular especializadas y dispositivos vasculares avanzados para apoyar altos niveles de estandarización y redefinir los resultados para sus pacientes con APP. Respalda cada paso de su procedimiento, a medida que decide, guía, trata y confirma los resultados del tratamiento.

Nuestras soluciones de quirófano híbrido Azurion proporcionan un entorno de atención quirúrgica innovador que ofrece una flexibilidad de procedimiento y una facilidad de uso excepcionales, a la vez que cumple con los estándares más altos de control de infecciones quirúrgicas e higiene. El sistema montado en el techo proporciona una flexibilidad ilimitada de imágenes para diversos procedimientos y una libertad de posicionamiento excepcional para los equipos médicos. Todo esto se consigue en una configuración compacta, lo que proporciona un entorno muy rentable y preparado para los procedimientos del futuro. Al trabajar a su alrededor, Philips Azurion con FlexArm le ayuda a optimizar el rendimiento de su sala y a ofrecer una atención superior.

Nuestros catéteres para obtener imágenes periféricas ayudan a evaluar la localización de la enfermedad y la morfología de la lesión, incluidos las calcificaciones y los trombos. La EIV también puede utilizarse para dimensionar adecuadamente los stents y confirmar la finalización del tratamiento.

Nuestros dispositivos de aterectomía periférica son excelentes herramientas para eliminar los bloqueos del torrente sanguíneo. Nuestros productos no láser funcionan como dispositivos independientes que no tienen que estar emparejados con otros sistemas.

La cartera adaptable de Philips de productos y tecnologías vasculares periféricas ayuda a los médicos a evaluar de forma rápida y precisa a los pacientes con enfermedades vasculares periféricas y a preparar los vasos para la administración precisa de un tratamiento óptimo.

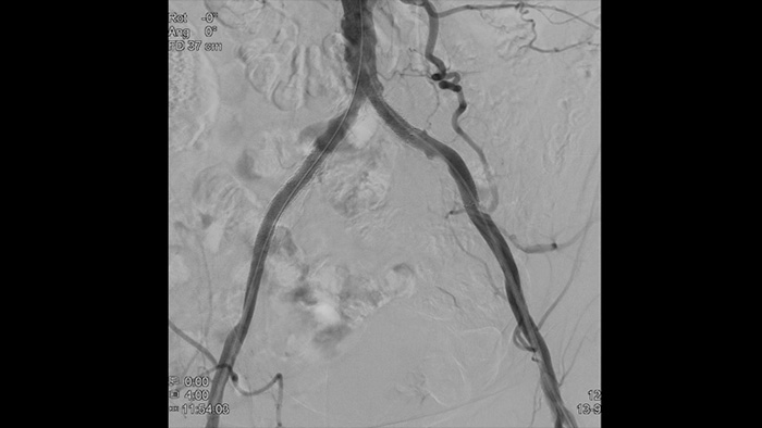
Imágenes de alta definición de los vasos con detalles vasculares superiores para apoyar las estrategias de tratamiento precisas, la navegación y el seguimiento.

Ver claramente, tratar de manera óptima. La cartera de dispositivos de Philips permite a los médicos ver con claridad y tratar de manera óptima.

Philips QuickClear El nuevo sistema de trombectomía mecánica Philips QuickClear está ayudando a los médicos con un control de un solo clic y se pone funcionamiento en cuestión de segundos. La constancia del poder de aspiración durante el procedimiento proporciona a los médicos más control y permite tiempos de procedimiento más rápidos.
Soluciones para procedimientos aórticos que ofrece la terapia guiada por imágenes de Philips.
Conozca másLas soluciones para procedimientos venosos que ofrece la terapia guiada por imágenes de Philips.
Conozca más Referencias
You are about to visit a Philips global content page
Continue