Productos destacados para este procedimiento

    Zenition ofrece una excelente calidad de imagen y control de dosis para procedimientos vasculares complejos

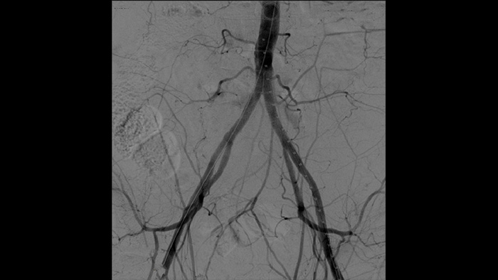
    Hospital Universitario de Bellvitge, Barcelona

    Uno de los principales especialistas en cirugía vascular mínimamente invasiva en España es el Dr. Ramón Vila, jefe del Departamento de angiología y cirugía vascular del Hospital Universitario Bellvitge, de Barcelona, España, que realiza 1000 cirugías vasculares al año.

     

    Con el arco en C móvil Philips Zenition, el Dr. Vila está obteniendo excelentes imágenes de alta calidad que le permiten realizar la mayoría de los procedimientos vasculares con dosis bajas.

    Con Zenition, nuestra calidad de imagen de la ASD ha mejorado mucho. Ya no vemos una imagen granulada. Solo una imagen muy clara.

    Dr. Ramón Vila Coll

    Hospital Universitario de Bellvitge. Barcelona

    Experiencia de usuario excepcional

    Flujo de trabajo Unify

    Hecho para facilitar su uso en entornos de quirófano de rápido movimiento, Zenition se basa en el flujo de trabajo de Philips Unify para establecer una sensación inmediata de familiaridad y confianza durante cualquier intervención y procedimiento quirúrgico.

    Un 72 %
    menos de frustración para los operadores y

    Un 48 %
    menos de frustración para los médicos1

    Un 94 %
    de posiciones correctas a la primera vez durante las tareas de reposicionamiento1

    El 80 %
    de los usuarios estadounidenses que no usan Philips calificaron a Zenition como más fácil de usar que su sistema actual1

    Tratamiento vascular

    Tratamiento vascular

    La angiografía por sustracción digital (ASD) se utiliza en procedimientos vasculares intervencionistas para ver con claridad los vasos sanguíneos mediante la eliminación de estructuras que pueden oscurecer la visibilidad de los vasos. La hoja de ruta de fluoroscopia superpone la imagen de contraste sustraída con anterioridad adquirida en la fluoroscopia en vivo, lo que le permite rastrear el dispositivo sin reinyectar el contraste.

    Módulo de pantalla táctil (TSM)*

    TSM

    Como una adición a la plataforma Zenition 70, el módulo de pantalla táctil (TSM) admite el control desde la mesa para los cirujanos durante los procedimientos. A través de la pantalla táctil, puede seleccionar, arrastrar y hacer zoom de los elementos con facilidad. Esto significa que puede ver imágenes al instante, lo que le brinda un mayor control de la imagen durante los procedimientos.

     

    *El TSM está disponible como opción solo en Zenition 70

    Contornos

    Contornos image

    Utilice la herramienta de contorno para marcar con facilidad una bifurcación o las ramas laterales solo dibujando en el monitor de la estación de visualización móvil con el dedo o con un ratón conectado externamente.

    Opciones de contraste de yodo y CO2

    Opciones de contraste de yodo y CO2

    Mejore la visibilidad de la vasculatura tortuosa con opciones de medios de contraste de yodo y CO2. Controle fácilmente las inyecciones desde la mesa. Para los pacientes con insuficiencia renal, puede utilizar la opción de CO2 para ver con facilidad los vasos pequeños sin usar contraste de yodo.

    Es más fácil ver un cable guía en comparación con nuestro antiguo sistema. Ahora se puede ver la punta y el ángulo del cable que está dando vueltas, incluso con cables de 0,014 pulgadas.

    Esto se debe a que Zenition compensa lo que es metal y lo que se mueve.

    Dr. Ramón Vila Coll

    Hospital Universitario de Bellvitge, Barcelona

    Zenition, excelente calidad de imagen y control de dosis

    Philips DoseWise Zenition es una combinación única de técnicas, programas y prácticas, integrada en nuestros sistemas de arco en C móvil Zenition que proporcionan una calidad de imagen clínicamente pertinente durante cada aplicación, al tiempo que gestionan la dosis de manera eficiente.

    Explore los diversos procedimientos con arcos en C móviles para la terapia guiada por imágenes

    • Arcos en C móviles para ortopedia

      Arcos en C móviles para ortopedia

      Realice casos ortopédicos con facilidad y confianza con los sistemas de imágenes del arco en C móvil de Philips Zenition, que ofrecen una facilidad de uso probada y capacidades de ajuste futuro.

      Conozca más
    • Arcos en C móviles para el tratamiento del dolor

      Arcos en C móviles para el tratamiento del dolor

      Realice casos de tratamiento del dolor con facilidad y confianza con los sistemas de imágenes de arco en C móvil de Philips Zenition que ofrecen una facilidad de uso probada y capacidades de ajuste futuro.

      Conozca más
    • Arcos en C móviles para gastroenterología / urología

      Arcos en C móviles para gastroenterología / urología

      Realice procedimientos de gastroenterología y urología con mayor facilidad y confianza en los sistemas de imágenes del arco en C móvil Philips Zenition.

      Conozca más

    Referencias
     
    1. Resultados obtenidos durante las pruebas de usuario realizadas en Noviembre de 2013 por Use-Lab GmbH, una empresa independiente. Las pruebas involucraron a 30 especialistas en Estados Unidos (15 médicos acompañados por 15 enfermeras o técnicos de rayos X) que realizaron procedimientos utilizando sistemas móviles de rayos X móviles de Philips en un entorno de quirófano simulado. Ninguno de ellos había trabajado entre sí antes.En ciertos escenarios, el tiempo de inicio puede superar los 80 segundos.

    Siempre estamos interesados en relacionarnos con usted

    Háganos saber cómo podemos ayudar

    1
    Seleccione su área de interés
    2
    Detalles de contacto

    You are about to visit a Philips global content page

    Continue

    You are about to visit a Philips global content page

    Continue

    Nuestro sitio se puede visualizar mejor con la última versión de Microsoft Edge, Google Chrome o Firefox.